Artritisa eta artrosia sistema muskuloskeletikoaren gaixotasunak dira ezaugarri komunak dituztenak. Gaixotasun horietako bakoitzak osasunean kalte konponezinak eragiten ditu eta denboran laguntza medikoa bilatzen ez baduzu, ondorio atzeraezinak gerta daitezke, ezintasuna eta ezintasuna dakartzan ondorio atzeraezinak.
Artikulu honetan, artritisaren eta artrosiaren, garapenaren kausak eta mekanismoaren arteko aldea zein den kontuan hartzen dugu, baita sintomak eta tratamendua ere.
Artritisa eta artrosiaren kausak
Artritisaren kausa nagusien artean, bereizten dira:
- Gorputzaren zelulak beren ehunak erasotzen hasten diren izaera autoimmune baten kausa erreumatoideak. Prozesu honen arrazoiak oraindik ez dira argitu;
- infekziosoak (tuberkulosia, markatu-koriosia);
- Bigarren mailakoa, artritisa beste gaixotasun batzuen atzeko planoan garatzen da (Lupus eritematosia sistemikoa, psoriasia);
- Metabolismoa urratzea (gout).

Artrosiaren arrazoiak honako hauek dira:
- sortzetiko garapen anormalak (displasia bateratua);
- lesioak;
- gorputzaren zahartze prozesu naturalak;
- urraketa metabolikoa, aldaketa hormonalak (Menopausia emakumezkoetan);
- gehiegizko jarduera fisikoa, kirol profesionala, lan monotonoa (jostunen bidez);
- Bigarren mailakoa (artrosia garatu daiteke artritisaren ondorioz).
Prozesu fisiologikoak
Bi patologiek artikulazioetan eragina dute, baina aldaketen izaerarekin desberdinak dira.
Artritisarekin
Artritisa ehun konektiboaren hantura da - ontzi asko dituen mintza sinovial bat eta linfo fluxua eskaintzen du. Hanturazko prozesuak ehun artikuluen elikadura urratzea dakar, eta ondorioz, lubrifikazio artikulatuaren produkzioa da.
Arrosia
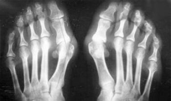
Artrosia, artikulazioaren kartilagoen ehunak suntsitzearekin lotutako prozesu degeneratiboa da. Kartilagoa pixkanaka suntsitzen da, lehorra, bateratuen hezurren arteko distantzia gutxitzen da, eta horrek mina kausa da. Forma larrietan suntsipenak hezurrak eragiten ditu. Porotsuagoak bihurtzen dira, dentsitatea galdu, hauskorra bihurtu.
Zein da aldea
Adibidez, zein da belauneko artikulazioaren artritisaren eta artrosiaren arteko aldea? Artritisarekin, ehun artikuluen maskor sinovial gertatzen da. Horrek tenperaturaren gehikuntza eragiten du artikulazioan.
Elkarguneak, mina sindrome iraunkorra garatzen da, mugimenduan zehar areagotuz. Artrosez, mina jarduera fisikoa egin ondoren gertatzen da, artikulazioan egindako krisi edo klik bat entzun ahal izango duzu, pixkanaka juntura deformatu eta mugikortasuna galtzen du.
Eskuen hatz eta eskuetako artritisaren eta artrosiaren arteko aldea da lehen gaixotasuna sendatzen dela eta bigarrena ez dela. Artritisarekin, saiakera sinovialarekin eta artikulazioaren kapsularekin ukitzen da.
Kartilagoaren eta hezur-ehunaren porrota ahaztutako egoeran dagoen etapetan gertatzen da. Artrosia, kartilagoaren ehuna lehenik eta behin, hezurrak, mintz sinovialaren hantura bigarren mailako jatorria da, hau da, haien aurrekariak garatzen ditu.
Sintomak: Artritisaren eta Artrosiaren arteko aldea zein da
Artritisa hanturaren ezaugarriak diren sintomekin batera doa:
- Gorputzaren tenperatura igotzen da, hotzak agertzen dira, ahultasuna gorputzean zehar gertatzen da;
- Kaltetutako artikulazioaren tokiko tenperatura, ehun bigunak igotzen dira;
- Elkarguneak puztu egiten du, inguruko larruazala blushes;
- deformazio bateratua gertatzen da;
- bere mugikortasuna murriztu egiten da;
- Goizean, zurruntasuna behatzen da, jarduera fisikoa egin eta ordubeteko epean gertatzen dena;
- Mina sindromea mugitzen denean eta atseden hartzeko moduan dago;
- Konplikazioak barne organoen lesioetan (bihotza, birikak) lesioetan ikusten da;
- izerdia handitzea gertatzen da;
- Gorputzaren pisua murriztu egiten da.
Artrosia pixkanaka garatzen da eta ez da hasierako faseetan nabaritzen. Askotan nekea fisikoa egiteko hartzen da. Artrosi forma kronikoa ere osteoartrosi deitzen zaio. Okerragoa den galderari - Artrosia edo osteoartrosia, erantzuna nabaria da. Azken aukera Artrosia eta bere forma akutua garatzearen ondorioa da.
Artrosiaren sintomen artean, honako hauek dira bereizten:
- Minak jarduera fisikoaren ondoren agertzen dira, bat-bateko mugimenduak, txandak, inklinazioak, atsedenaren ondoren, mina igaro ondoren;
- artikulazioetan krisi pertsonaia bat nabaritzen da;
- Mina atseden luzea egin ondoren, 15-20 minuturen buruan pasa zena (hau artikulazioan gertatzen den fenomeno geldiezinekin lotuta dago);
- Gaueko minaren mina tristea kezkatuta dago, geldialdi venosoaren ondorioz gertatzen dena;
- Patologiaren hanturazko forma edema eta mina ditu;
- Juntura deformatuta dago, bere mugikortasuna gutxitzen da.

Ikus dezakezuenez, sintomen desberdintasunak hutsalak dira: bi kasuetan mina, zurruntasuna eta nekea daude. Artritisak eta artrosiak artikulazio desberdinetan eragina izan dezakete giza gorputzean. Bizkarrezurrean eta disko intervertebraletan kalteak eginez, osteokondrosia garatzen da - artrosiaren antzekoa da. Gaixotasunaren lekuaren arabera, orkatilaren artrosiaren, sorbalda, hip junturen eta abar bereizten da.
Sintomak eta diagnostiko diferentzialen xehetasunak patologia zehaztasunez zehaztuko du - artritisa edo artrosia.
Tratamenduaren aldea
Artritisaren tratamendua sistema immunologikoa leheneratzera zuzenduta dago, hantura ezabatzea. Artrosez, zeregin nagusia da ehunen suntsipena eta sintomak arintzea ekiditea.
Artrosiaren tratamendua mediku ortopedikoan aritzen da, artritis bat, erreumatologoa eta beste mediku batzuek, gaixotasunaren jatorriaren arabera.
Artritisaren terapia nagusiak -k-anti-fllamatorio ez -ormonalik gabeko agenteak, antibiotiko terapia eta kasu larrietan erabiltzea - terapia hormonala eta immunosupresatzaileak hartzea.
Artrosez, anti-fullamentazioarekin, analgabetzaileekin, droga hormonalak, venotonikoak eta kondroprotektoreak erabiltzen dira.
Bi kasuetan, gaixorik dagoen juntura atsedenarekin hornitzen da, karga murriztu eta gimnasia terapeutikoa eta fisioterapia berreskuratzeko erabiltzen dira.
Gimnasia terapeutikoak ligamendu eta artikulazioen egoera hobetzeari eragiten dio, malgutasuna eta mugikortasuna garatzen ditu. Kontuan izan behar da ariketak barkamena eta hantura ezean bakarrik egin daitezkeela. Ortopediako edo fisioterapia espezialistaren konplexuak ariketa multzo bat aukeratu dezake, artikulazioen arabera zaurituta zegoenaren arabera.
Oso garrantzitsua da inplementazio teknika zuzena behatzea, artikulazioei kalte egin ez dezan. Mugimendu guztiak motelak eta leunak izan behar dute. Ariketak egiteak ez du ondoeza eragin behar eta mina ekartzea, bestela ikasgaia gelditu edo beste ariketa mota batera eraman behar da. Hasieran, hobe da ariketak egitea medikuaren gainbegiratzean, eta ondoren etxean praktikan sartu.

Artikulazioen mugikortasuna errazteko, bitarteko ortopediko bereziak erabiltzen dira: konpresio belauneko pastelak, kortsariak, collar cervical eta bestelako osagarriak, kalte-zonaren arabera.
Fisioterapia erabilgarria da bi kasuetan, artritisarekin, barkamen garaian bakarrik egiten da. Gutxienez kontraindikazioak eta bigarren mailako efektuak ditu, ez du erreakzio alergikorik eragiten eta gaixo gehienentzat egokia da.
Elektroforesia, ultrasoinu, fonophoresia, magnetoterapia, shock olatu terapia, krioterapia erabiltzen da.
Hauek guztiak berreskuratzeko prozesuan eragina dute, drogak ehunetan barneratzen, odol zirkulazioa, linfo fluxua, prozesu metabolikoak eta birsortzeko prozesu naturalak hobetzeko.
Kasu larrietan, artikulazioak erabat suntsitzen direnean, elikadura endoprostetika edo artikulazioaren ordezko osoa burutzen da.
Medikuntza tradizionala Artrosiaren eta Artritisaren tratamenduetan
Artritisaren eta artrosiaren tratamenduan folk-erremedioak erabiltzen dituzunean, gaixotasunaren etapa eta erreakzio alergikoen arriskuak kontuan hartu behar dira, beraz, erabili aurretik, mediku bat kontsultatu behar da. Artritisarekin, tratamendu ez diren produktu gehigarriak erabiltzea baimendutakoa da barkamena baino ez da onartzen, gaixotasunaren izaera autoimmunearen ondorioz gertatzen da.
Eragile terapeutikoak, dekozioak eta tinturak hantura, zaborrak eta pomadak arintzen dituzten hantura, aplikazioak eta bainuak arintzen dituztenak erabiltzen dira. Folk erremedioekin prebentzioak eta tratamenduak laguntzailea izan behar dute rol nagusia baino. Hori beti hartu behar da kontuan horrelako gaixotasun larriekin.
Artrosez, gatzarekin elurra erabiltzen da. Elur edalontzi bat 1 koilarakada gatzarekin nahasten da, juntadura minak 5 minutuz nahasketa batekin igurtzi egiten da.
Artritisa eta artrosia eta artrosia, kamamila, orratzak eta aloe erabilitako artrosiak, orratzak eta aloe erabiltzen dira. Nahasketa bainuetan gehitu daiteke eskuetarako edo aplikazioak egiteko.
Animalien gantzak pomada gisa nahasten dira: txerri gantza, gantz txarra, txipa. Kalendula edo lubaki batekin nahasten dira. Minaren erliebea laguntzen dute, elikadura hobetuz eta hantura murriztuz.
Konprimitu hosto freskoetatik. Burdock edo aza xafla eztiarekin lubrifikatzen da, junturarekin aplikatua, polietilenaz eta ehun epelez estalita eta gau osoan utzi zuen.

Buztina urarekin nahasten da krema garratzaren dentsitatera, nahasketa batekin impregnatutako gasa aplikatua eta ordubete utzi. Eskabidea egunero bi aste barru errepikatu behar da.
Proportzio berdinetan, aloe zukua, vodka eta eztia nahastu ditzakezu. Nahasketa honekin gaza bat xurgatzeko eta erantsi lekua 1 orduz.
Pomada, kamamila, saltokiak, San Joan Wort eta Petrolio gelatina nahasten dira. Egunero aplikatu hilabete batez.
Zelandina birrindu bi koilarakada 150 ml landare olio (oliba, sesam, kalamu eta beste edozein) gehitzen dira, astebetez prestatu eta pomada gisa erabiltzen da.
Aloe zuku berria 2 koilarakada egunean 4 aldiz hartzen da.
San Joanen Wort eta Wormwood bi koilarakada ur irakiten 1 litro bota, utzi 10-15 minutuz eta hartu 1 koilarakada.
Dandelion Flowers Vodkarekin isurtzen dira dandelion + 2 zatiren zati bat duen 1 zatiren arabera, 2 astez azpimarratu zuten eta zaborra erabiltzen da.
Zer desberdintasun dago osteochondrosisaren eta osteoartritisaren artean
Kontzeptu horiek antzekoak dira. Artekondrosia eta artrosrosia, artikulazioetako kartilagoen ehunak suntsitzearekin batera doaz. Osteokondrosia, bizkarrezurraren artikulazioak, disko intervertebralak dira, eta osteoartritisarekin - gorputz-adarren artikulazioak.
Aurrezaintza
Gaixotasun bateratuak garatzea ekiditeko, arrisku faktoreak ezagutu behar dituzu. Horien artean daude:
- gorputzaren elikaduraren gorputza, nekeak eta narriadura ulertzeko prozesuak;
- Bizimodu sedentario batek fenomeno geldiezinak, odol zirkulazioa, linfo fluxua, bizkarrezurraren kurbadura urratzea eragiten du;
- Gehiegizko pisua metabolismoaren urraketarekin batera dago, sistema hormonaletan eta endokrinetan, bizkarrezurrean gehiegizko karga, artikulazioetan eta bihotzean.

Prebentziorako, eguneroko gaiei buruzko gomendio hauek aurkeztu behar dira. Kirol ospetsuak eta fitness mota bigunek eragin ona dute juntadurak, ligamenduak eta bizkarrezurra mantentzea.
Astean bi edo hiru aldiz nahikoa fenomeno geldiak garatzea eta ongizate orokorra hobetzeko.
Gorputzeko elikadura-zeluletara, zure dieta dibertsifikatu behar da gantz-azido poliinsaturatuetan, B bitaminak eta PP. Zerealak, barazkiak eta fruituak kontsumitu behar da, ale osoak, baxuko haragia, baita substantzia kartzinogeniko kaltegarriak, frijituak, gordinak, gazia eta akutuak dituzten produktuen erabilera murriztea ere.
Elikagai ohitura eta dietak egokiak osatzeko, dietista bat kontsultatu dezakezu.
Deskribatutako gaixotasunen izaera psikosomatikoak iradokitzen du beharrezkoa dela estresa ekiditea, gatazka egoerak modu eraikitzaileetan ebaztea, eta ez etsi eta depresioari uko egitea.
Bukaera
Artritisa eta artrosia gizakien gaixotasun nahiko larriak dira, ondorio atzeraezin larriak sor ditzakete. Artrosiaren garapenaren ezkutuko izaerak ez du hasierako faseetan identifikatzen uzten. Hori dela eta, oso garrantzitsua da zure osasunarekin adi egotea, ez mina "igarotzen" arte itxaron eta laguntza medikoa modu egokian bila.





















